


Antes y después de ortodoncia infantil
Caso de una peque tras haber llevado ortodoncia, ya que empujaba con la lengua los dientes hacia delante y tenía una boca acorde a un respirador oral.



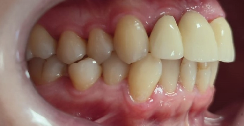
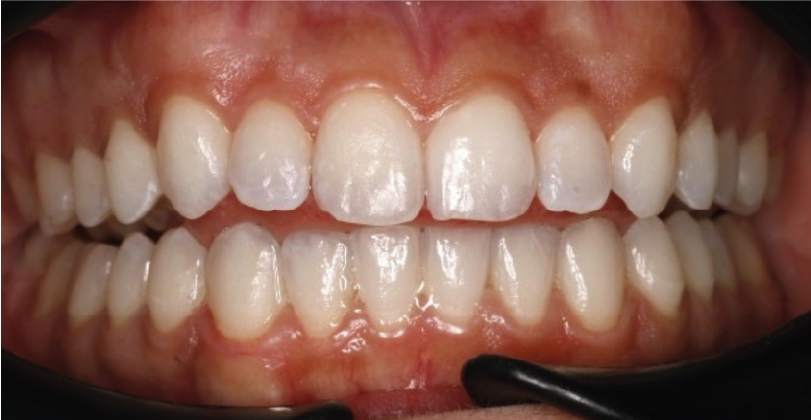
Caso de ortodoncia + blanqueamiento + cambio del puente de 12 a 22
Trabajo multidisciplinario para un resultado tan bonito y natural.



Caso clínico de apiñamiento severo
Tratado con ortodoncia



Caso clínico de apiñamiento severo
Tratado con ortodoncia



Gemas dentales en clínica
Resultados bonitos y seguros.



Blanqueamiento dental
Tratamiento seguro, rápido y eficaz para recuperar el color natural de tus dientes y lograr una sonrisa más luminosa.



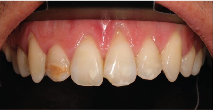
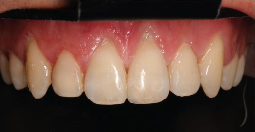
Caso de odontología estética
Tratamiento integral para devolver armonía y salud al esmalte dental: combinamos reconstrucciones en composite con el tratamiento de manchas blancas mediante técnica Icon.
Resolvimos:
-Fracturas en los dientes que afectaban la estética y funcionalidad.
-Manchas blancas causadas por hipoplasias del esmalte, un defecto en su formación que puede alterar el color y la textura.
Gracias a técnicas mínimamente invasivas, restauramos la forma natural de los dientes y eliminamos las manchas sin desgaste, logrando un resultado uniforme, luminoso y natural.
Gingivectomía
Remodelamos el contorno de la encía para dejar expuesta una mayor superficie dental, logrando que tus dientes se vean más largos, proporcionados y estéticos. Pero no todos los casos son aptos.
Por eso, es clave una consulta de valoración para estudiar tu sonrisa y definir si esta opción es adecuada para ti.
