Armonía y belleza en cada sonrisa
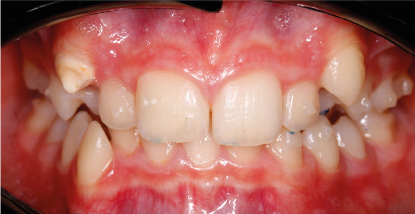
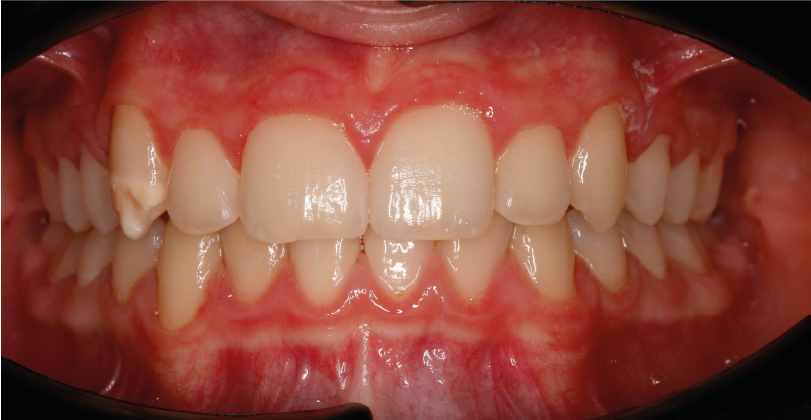
En Simbiótica cuidamos cada detalle de tu sonrisa. La ortodoncia permite corregir la posición de los dientes y mejorar tanto la estética como la funcionalidad de tu boca, ayudando a mantener una salud dental óptima a largo plazo.
Nuestra Dra. Ana María Gaspar Cuevas, Directora Médica con certificación oficial, lidera estos tratamientos con enfoque integral que considera postura, respiración y salud general.
Beneficios clave de la ortodoncia en Simbiótica
Ortodoncia invisible certificada (INVISALIGN, ANGEL ALIGNER y sistemas avanzados)
Ortodoncia interceptiva para niños y adultos
Resultados funcionales y estéticos naturales
Empieza hoy tu tratamiento y transforma tu sonrisa con seguridad y salud. Valoración individual y sin compromiso.








Preguntas frecuentes
Lo esencial, explicado con claridad.¿Cuándo es recomendable empezar un tratamiento de ortodoncia?
Lo ideal es comenzar desde pequeñito, ya que es más fácil tratar una boca que está en formación y podemos guiar correctamente el crecimiento de los dientes y los maxilares. Sin embargo, existen opciones efectivas tanto para niños como para adolescentes y adultos, por lo que nunca es tarde para mejorar tu sonrisa.
¿Cuánto tiempo dura un tratamiento de ortodoncia?
La duración puede variar según cada caso, ya que depende de la complejidad y las necesidades del paciente. Por eso, lo mejor es realizar una consulta de valoración con el profesional para determinar el tiempo estimado del tratamiento.
¿Duele ponerse brackets o alineadores?
Es normal sentir molestias leves después de colocar los brackets o tras los ajustes y cambios de alineadores. Estas molestias suelen ser temporales y desaparecen en pocos días.
