Cuidado dental esencial
Tratamientos básicos y fundamentales para mantener tu sonrisa sana, bonita y protegida a lo largo del tiempo.
Nuestros servicios
Limpieza dental profesional
Eliminamos placa y sarro para mantener tus encías sanas y tu sonrisa fresca y luminosa.
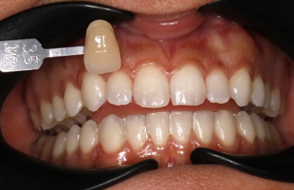
Blanqueamiento dental
Recupera el blanco natural de tus dientes de forma segura y controlada por profesionales.
Periodoncia
Tratamos y prevenimos enfermedades de las encías para mantener una base sana que sostenga tu sonrisa a largo plazo.
Endodoncia
Salvamos dientes dañados o con infección eliminando el dolor y preservando tu sonrisa de forma segura y eficaz.
Odontopediatría
Cuidamos la salud bucodental de los más pequeños con un enfoque cercano y preventivo, creando experiencias positivas desde la primera visita.
Férulas de descarga
Protege tus dientes y alivia tensiones mandibulares con férulas diseñadas a medida.
Grills dentales
Personaliza tu sonrisa con grills estéticos, siempre con asesoramiento profesional y seguro.
Preguntas frecuentes
Lo esencial, explicado con claridad.¿Cuándo es recomendable empezar un tratamiento de ortodoncia?
Lo ideal es comenzar desde pequeñito, ya que es más fácil tratar una boca que está en formación y podemos guiar correctamente el crecimiento de los dientes y los maxilares. Sin embargo, existen opciones efectivas tanto para niños como para adolescentes y adultos, por lo que nunca es tarde para mejorar tu sonrisa.
¿Cuánto tiempo dura un tratamiento de ortodoncia?
La duración puede variar según cada caso, ya que depende de la complejidad y las necesidades del paciente. Por eso, lo mejor es realizar una consulta de valoración con el profesional para determinar el tiempo estimado del tratamiento.
¿Duele ponerse brackets o alineadores?
Es normal sentir molestias leves después de colocar los brackets o tras los ajustes y cambios de alineadores. Estas molestias suelen ser temporales y desaparecen en pocos días.
